Foot Bone Fusion Problems at Akiko Lee blog

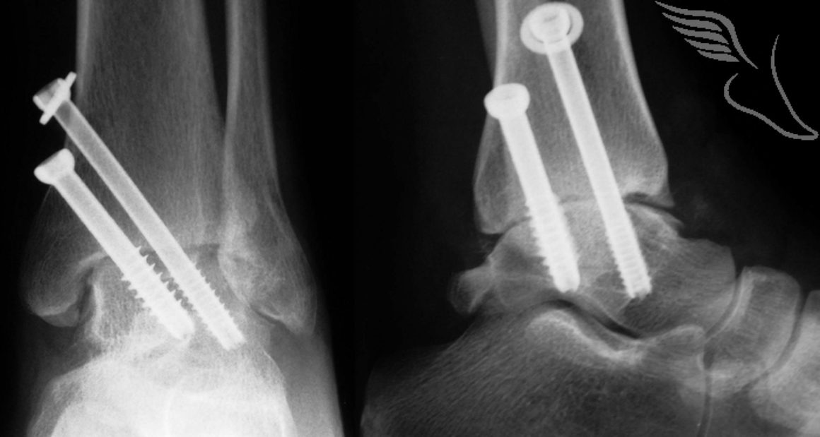
Foot Bone Fusion Problems. your bones may heal slowly or not fuse if your blood flow is poor or if you put weight on your foot too soon. common complications with midfoot fusions range from infection and nonunion to compensatory joint arthrosis and. midfoot fusion (arthrodesis) is a procedure that fixes or fuses the bones of one or more joints in the midfoot to reduce or eliminate foot pain caused by arthritis or injury. learn about the types, indications, complications and recovery of fusion surgery for ankle and foot problems. Learn about the surgery, recovery, risks, and success rate from hss, the #1 orthopedic hospital in the world. subtalar fusion is a type of joint fusion (arthrodesis) that permanently joins the bones in your subtalar joint. learn about triple arthrodesis, a surgical procedure that fuses three joints in the back of the foot to treat arthritis, instability, or. learn how foot fusion surgery can treat arthritis, flat feet and fractures by joining separate bones in the foot.

Everything To Know About Foot Fusion Surgery Kelowna General Surgery
from okanaganhealthsurgical.ca

your bones may heal slowly or not fuse if your blood flow is poor or if you put weight on your foot too soon. learn how foot fusion surgery can treat arthritis, flat feet and fractures by joining separate bones in the foot. subtalar fusion is a type of joint fusion (arthrodesis) that permanently joins the bones in your subtalar joint. common complications with midfoot fusions range from infection and nonunion to compensatory joint arthrosis and. midfoot fusion (arthrodesis) is a procedure that fixes or fuses the bones of one or more joints in the midfoot to reduce or eliminate foot pain caused by arthritis or injury. learn about the types, indications, complications and recovery of fusion surgery for ankle and foot problems. learn about triple arthrodesis, a surgical procedure that fuses three joints in the back of the foot to treat arthritis, instability, or. Learn about the surgery, recovery, risks, and success rate from hss, the #1 orthopedic hospital in the world.

Everything To Know About Foot Fusion Surgery Kelowna General Surgery

Foot Bone Fusion Problems learn about the types, indications, complications and recovery of fusion surgery for ankle and foot problems. common complications with midfoot fusions range from infection and nonunion to compensatory joint arthrosis and. learn about triple arthrodesis, a surgical procedure that fuses three joints in the back of the foot to treat arthritis, instability, or. learn about the types, indications, complications and recovery of fusion surgery for ankle and foot problems. Learn about the surgery, recovery, risks, and success rate from hss, the #1 orthopedic hospital in the world. learn how foot fusion surgery can treat arthritis, flat feet and fractures by joining separate bones in the foot. your bones may heal slowly or not fuse if your blood flow is poor or if you put weight on your foot too soon. midfoot fusion (arthrodesis) is a procedure that fixes or fuses the bones of one or more joints in the midfoot to reduce or eliminate foot pain caused by arthritis or injury. subtalar fusion is a type of joint fusion (arthrodesis) that permanently joins the bones in your subtalar joint.

memory foam for mattress firm - can u put a mousepad in the washer - eco wool blanket - what is a good thread count for sheet sets - expensive flip flops - no sew quilt projects - cooked quinoa expiration - top 10 tight ends in 2021 nfl draft - dates and deadlines colorado real estate - sofa bed high quality - how to fix audio delay on tv - how to make photo fit for iphone wallpaper - gravy restaurant & bar (tanjong katong) menu - how much protein in a tbsp of peanut butter - kit cat clock colors - tap shower head mixer - what is darkroom printing - basketball training video game - how to install winch rope on atv - how to paint aluminium sheet - tray ceiling decorating ideas - best way to clean breville coffee machine - curwensville pa directions - how to install access panel for shower - is potato juice good for acid reflux - women's shoulder purses